
Dental Vibe and Vibraject
Vibration technology uses the Gate Control Theory of Pain, which is based on the different sizes of your nerve endings. The nerve endings that register temperature and pain are smaller and uninsulated, while those that sense vibration are larger and insulated. This means that the sensations of vibration will travel to your brain more quickly than the sensation of pain.
When vibration is used in conjunction with an injection, the vibrating sensation reaches the brain first and essentially blocks out the sensation of pain from the needle prick.
This is a great solution for those who have dental or needle anxiety, or those who just do not like the feel of the needle.
Plan Scan, Trios Intraoral and DOF UHD scanners and Milling Units
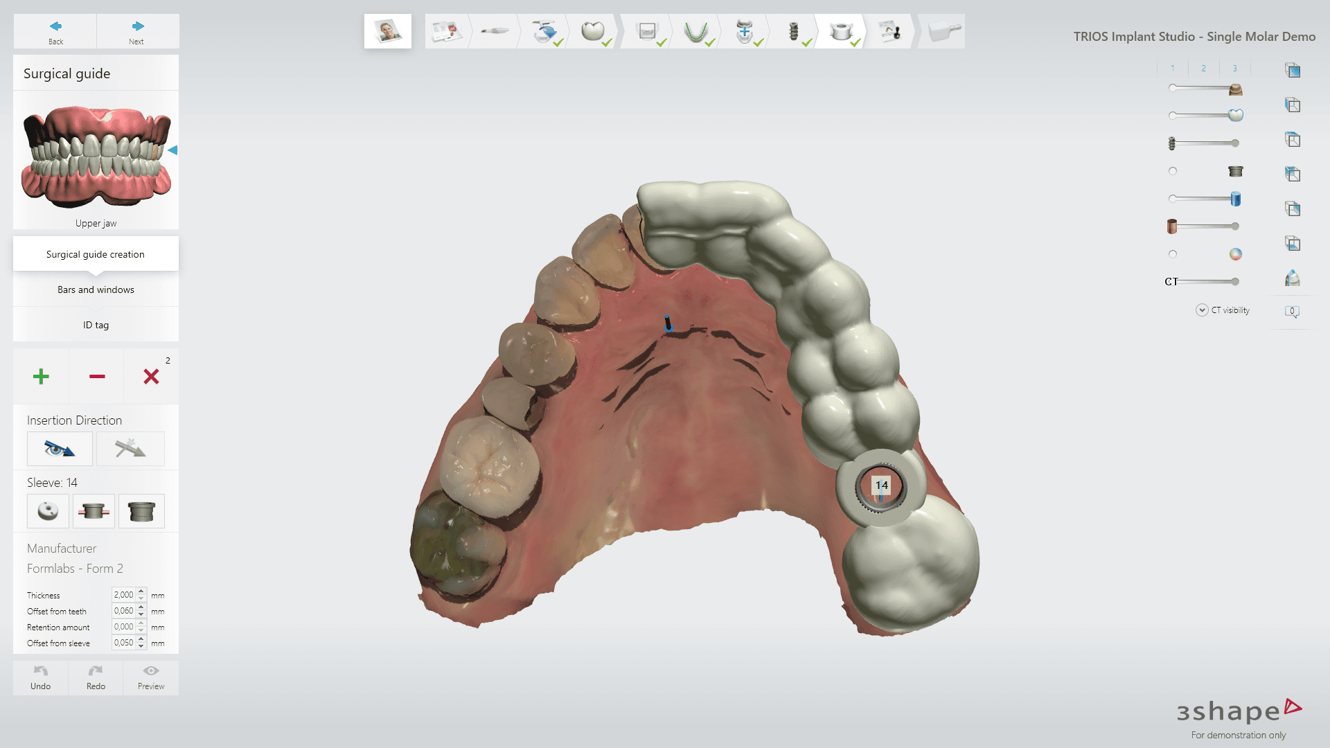
The PlanScan and Trios are intraoral scanners that provide high-resolution digital 3D tooth impressions. No more waiting 5 minutes for impressions to set in the mouth. Its all digital, fast and comfortable. No more "Gagging!". We also integrate these scanners with two milling machines the PlanMill 40 and the VHF K5 to provide SAME DAY CROWNS
and bridges.
Vatech i3d Smart
When patients need both a CT image and an Auto Pano image, there is no longer a need to have two x-ray scans. This scanner gives both images at once using very low doses of radiation. Cone beam or CBCT imaging is the latest advance in dental imaging which helps us to surgically plan and diagnose for implant surgery, wisdom teeth extractions, complex root canal anatomy, sinus pathology and airways issues. No more driving, waiting and re-appointing for consultations as we do this onsite and usually on the day of examination if required.
A-PRF
When a bone graft or other similar procedure is done, a PRF – a liquid form of platelet concentrates derived from the patient’s own blood – is used to help speed healing without risk of disease transmission or rejection by the patient’s immune system.

VacuaSonic®System
An unprecedented equipment that uses vacuum and ultrasonic waves to process an extracted tooth into an autogenous tooth bone graft. Vacuum and Ultrasonic waves are combined for maximum demineralisation of teeth for bone grafting. The patient's own tooth is processed into a bone graft on site immediately after extraction in a safe and reliable manner.

Now Dental dentist Redcliffe dental technology
Our reputation is for
excellent dental care and patient service
Give our team a call today for any questions you might have, or to schedule an appointment. We look forward to seeing you.
Schedule a visit





































